VIÊM NHA CHU
CĂN BỆNH RĂNG MIỆNG NGUY HIỂM CẦN ĐIỀU TRỊ KỊP THỜI
Viêm nha chu là nguyên nhân chủ yếu gây ra tình trạng mất răng, ảnh hưởng đến sức khỏe và tính thẩm mỹ của hàm răng. Hãy cùng Nha khoa Quốc tế Úc Châu tìm hiểu về nguyên nhân, triệu chứng, dấu hiệu và tìm ra cách điều trị bệnh nha chu trong bài viết sau đây.
VIÊM NHA CHU LÀ BỆNH GÌ?
Nha chu là một tổ chức xung quanh răng bao gồm: Xương ổ răng, dây chằng, nướu răng có tác dụng nâng đỡ, giữ cho răng vững chắc và cố định trong xương hàm. Các mô nướu sẽ ôm sát chân răng để che chở các mô dễ nhạy cảm bên dưới. Đồng thời ngăn ngừa các vi khuẩn có hại không xâm nhập và làm hại cho răng.
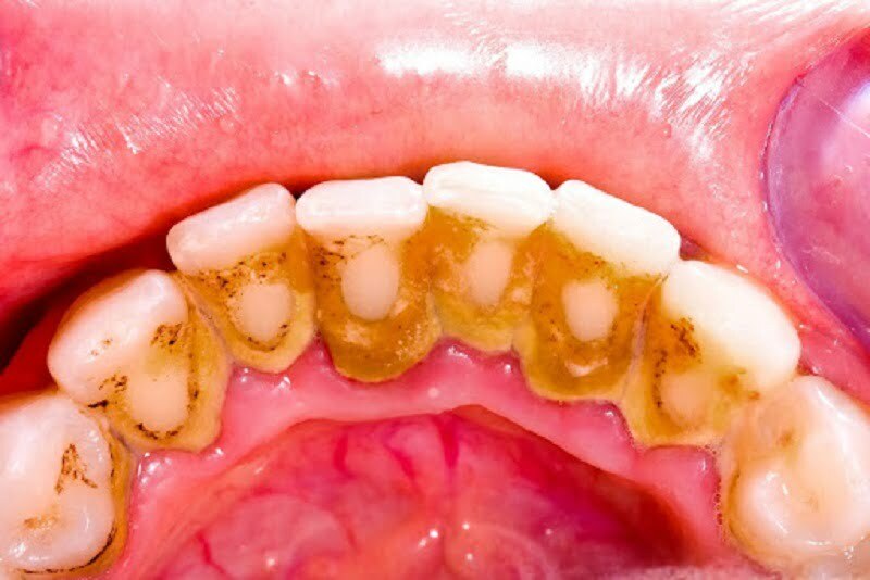
Bệnh viêm nha chu bắt đầu từ nướu, sau đó lan dần xuống các cấu trúc của mô nha chu bên dưới, gây ra tình trạng tụt nướu, xương ổ răng bị tiêu dần và hình thành túi nha chu.
Có rất nhiều nguyên nhân dẫn đến bệnh viêm nha chu, có thể kể đến như:
- Vệ sinh răng miệng kém: Các mảng bám thức ăn bám vào răng không được làm sạch tích tụ lâu ngày khiến vi khuẩn phát triển, hình thành nên cao răng, gây viêm nướu, nướu sưng đỏ, chảy máu chân răng.
- Thói quen không thăm khám răng miệng và lấy cao răng định kỳ khiến vôi răng ngày càng nhiều hơn, vi khuẩn tích tụ, xâm nhập làm hư hại men răng, viêm nướu xảy ra.
- Bệnh viêm nha chu thường xảy ra ở những người hút thuốc lá thường xuyên, làm tăng mức độ của bệnh viêm lợi, xuất hiện nhiều mảng bám, cao răng dẫn đến bệnh viêm nha chu.
- 1 số người có thói quen dùng tăm nhọn xỉa răng gây chảy máu chân răng, khoang miệng dễ bị viêm nhiễm, vi khuẩn tích tụ và gây bệnh viêm nha chu.
- Rối loạn nội tiết tố trong cơ thể cũng hình thành bệnh viêm nha chu.
Bệnh viêm nha chu bắt đầu từ nướu, sau đó lan dần xuống các cấu trúc của mô nha chu bên dưới, gây ra tình trạng tụt nướu, xương ổ răng bị tiêu dần và hình thành túi nha chu.
Có rất nhiều nguyên nhân dẫn đến bệnh viêm nha chu, có thể kể đến như:
- Vệ sinh răng miệng kém: Các mảng bám thức ăn bám vào răng không được làm sạch tích tụ lâu ngày khiến vi khuẩn phát triển, hình thành nên cao răng, gây viêm nướu, nướu sưng đỏ, chảy máu chân răng.
- Thói quen không thăm khám răng miệng và lấy cao răng định kỳ khiến vôi răng ngày càng nhiều hơn, vi khuẩn tích tụ, xâm nhập làm hư hại men răng, viêm nướu xảy ra.
- Bệnh viêm nha chu thường xảy ra ở những người hút thuốc lá thường xuyên, làm tăng mức độ của bệnh viêm lợi, xuất hiện nhiều mảng bám, cao răng dẫn đến bệnh viêm nha chu.
- 1 số người có thói quen dùng tăm nhọn xỉa răng gây chảy máu chân răng, khoang miệng dễ bị viêm nhiễm, vi khuẩn tích tụ và gây bệnh viêm nha chu.
- Rối loạn nội tiết tố trong cơ thể cũng hình thành bệnh viêm nha chu.
TRIỆU CHỨNG CỦA VIÊM NHA CHU
QUY TRÌNH ĐIỀU TRỊ VIÊM NHA CHU

ĐỘI NGŨ BÁC SĨ
NHA KHOA QUỐC TẾ ÚC CHÂU


Đội ngũ bác sĩ tại Nha khoa Quốc tế Úc Châu không chỉ là bậc thầy về thẩm mỹ mà còn rất giàu kinh nghiệm trong việc điều trị bệnh lý, nha khoa phòng ngừa. Đã có không ít khách hàng đã điều trị triệt để tình trạng viêm và sức khỏe hàm răng được cải thiện rõ rệt.
ĐIỀU TRỊ VIÊM NHA CHU NHƯ THẾ NÀO?

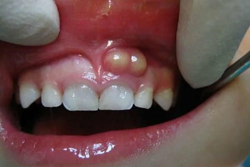
1. Điều trị khẩn cấp
Vùng nướu lợi hoặc niêm mạc có ổ mủ, bác sĩ sẽ có chỉ định phẫu thuật. Ổ mủ có thể tạm thời hết khi dùng kháng sinh. Tuy nhiên nếu viêm nha chu mãn tính, bệnh sẽ tái diễn theo chu kỳ và mức độ ngày càng nguy hiểm.

2. Điều trị không phẫu thuật
Với mức độ nhẹ, bác sĩ sẽ thực hiện cạo vôi răng, xử lý mặt gốc răng. Sau đó chấm thuốc sát khuẩn, chống viêm. Với trường hợp gặp phải tình trạng răng lung lay nhiều, không thể giữ răng lại được, bác sĩ sẽ chỉ định nhổ bỏ.

3. Điều trị phẫu thuật
Với các trường hợp điều trị thông thường nhưng bệnh không có dấu hiệu đáp ứng. Bác sĩ sẽ thực hiện các phương pháp: Phẫu thuật loại bỏ túi nha chu, phẫu thuật tái tạo mô nha chu, phẫu thuật ghép mô mềm.

4. Hỗ trợ điều trị duy trì
Sau khi áp dụng các phương pháp điều trị tích cực, bệnh viêm nha chu dần ổn định, người bệnh cần được theo dõi, thăm khám định kỳ và áp dụng điều trị duy trì theo phác đồ của bác sĩ để bệnh được kiểm soát.
BẢNG GIÁ
Dưới đây là bảng giá được niêm yết công khai tại Nha khoa Quốc tế Úc Châu:
| Tên dịch vụ | Các dòng/ Giai đoạn | Chi Phí |
| Nạo túi nha chu (không lật vạt) | 1 răng | 300.000 đồng |
| Nạo túi nha chu (có lật vạt) | 1 răng | 800.000 đồng |
| Gói điều trị viêm lợi (LCR, khay cá nhân, thuốc, nước súc miệng) | 1 răng | 450.000 - 650.000 đồng |
Với chi phí điều trị tại Nha khoa Quốc tế Úc Châu mà chúng tôi chia sẻ trên đây, hy vọng giúp bạn có thể tham khảo và có sự chuẩn bị tốt hơn trước khi thực hiện. Tuy nhiên để đưa ra phương án điều trị tốt nhất, cũng như mức chi phí hợp lý nhất, bạn hãy đến trực tiếp Nha khoa Quốc tế Úc Châu để được bác sĩ thăm khám và tư vấn hoàn toàn miễn phí nhé.
TẠI SAO NÊN CHỌN NHA KHOA ÚC CHÂU ĐIỀU TRỊ VIÊM NHA CHU?

Nha sĩ chuyên sâu
Nha khoa quy tụ đội ngũ chuyên gia, bác sĩ giỏi, dày dặn kinh nghiệm và chuyên môn, đã từng thực hiện điều trị thành công cho hàng ngàn ca khách hàng với nhiều mức độ. Do đó sẽ mang lại hiệu quả điều trị cao nhất.

Kế hoạch chi tiết
Tại Nha khoa thẩm mỹ Úc Châu, khách hàng sẽ được thăm khám tổng quát tình trạng răng miệng, chụp phim bằng thiết bị CBCT OP 300 để bác sĩ xác định chính xác mức độ viêm nha chu và có kế hoạch điều trị cụ thể.

Quy trình đảm bảo
Quy trình điều trị viêm nha chu được thực hiện trong phòng dịch vụ chuyên biệt, được vô khuẩn tuyệt đối kết hợp cùng hệ thống máy móc, trang thiết bị hiện đại bậc nhất giúp bác sĩ linh hoạt trong mọi thao tác thực hiện.
CÁCH PHÒNG NGỪA VIÊM NHA CHU

Vệ sinh răng miệng
Chải răng miệng đúng cách với bàn chải có đầu lông mềm và kem đánh răng có chứa flour 2 lần/ngày. Kết hợp sử dụng chỉ tơ nha khoa và nước súc miệng để làm sạch triệt để kẽ răng và toàn bộ khoang miệng.

Ăn uống hợp lý
Áp dụng chế độ ăn uống khoa học với nhiều rau xanh, trái cây tươi giúp làm sạch răng và tăng cường hệ miễn dịch tốt hơn. Hạn chế những đồ ăn nhiều đường, dầu mỡ, nước ngọt, nước uống có ga...

Thăm khám nha khoa
Ngay khi nhận thấy dấu hiệu của viêm nha chu, bạn hãy đến địa chỉ nha khoa uy tín để được khám và điều trị. Tránh trường hợp để lâu, bệnh lý tăng nặng, khi đó răng lung lay nặng sẽ buộc phải nhổ bỏ.



















