PHẪU THUẬT HÀM HÔ MÓM
GIẢI PHÁP ĐỂ CÓ NỤ CƯỜI ĐẠT CHUẨN TỈ LỆ
Phẫu thuật hàm hô móm là giải pháp hiệu quả nhất hiện nay có thể khắc phục được tình trạng hô móm do xương hàm gây ra. Tình trạng hàm hô, móm gây mất thẩm mỹ nghiêm trọng cho khuôn mặt. Đồng thời gây cản trở ăn nhai và ảnh hưởng đến khớp thái dương hàm. Chính vì vậy, hãy tìm đến cơ sở nha khoa thẩm mỹ uy tín để thực hiện phẫu thuật hàm, lấy lại khuôn mặt cân đối hài hòa, tự tin.
TỔNG QUAN VỀ PHƯƠNG PHÁP PHẪU THUẬT HÀM HÔ MÓM
Có nhiều trường hợp hô, móm do răng đã được khắc phục hiệu quả bằng phương pháp niềng răng. Tuy nhiên những trường hợp hô, móm do hàm thì niềng răng sẽ không mang lại hiệu quả. Khi đó, bạn cần phải thực hiện phẫu thuật hàm thì kết quả mới đạt tối ưu.
Phẫu thuật hàm hô, móm là phương pháp nắn chỉnh sự sai lệch của xương hàm bằng phương pháp phẫu thuật như gọt hàm. Việc điều chỉnh này mang lại sự cân đối cho hai hàm, khớp cắn về đúng chuẩn và hỗ trợ việc ăn nhai, cải thiện thẩm mỹ.
Theo các chuyên gia nha khoa, việc điều chỉnh xương hàm chỉ nên thực hiện khi xương hàm răng đã ổn định. Để đảm bảo nhất, bạn nên thực hiện ở độ tuổi từ 18 trở lên.
Cũng có nhiều trường hợp gặp cả tình trạng hô hàm và răng. Để khắc phục được khuyết điểm này, bạn cần điều trị kết hợp cả PHẪU THUẬT HÀM + NIỀNG RĂNG.
Phẫu thuật hàm hô, móm là phương pháp nắn chỉnh sự sai lệch của xương hàm bằng phương pháp phẫu thuật như gọt hàm. Việc điều chỉnh này mang lại sự cân đối cho hai hàm, khớp cắn về đúng chuẩn và hỗ trợ việc ăn nhai, cải thiện thẩm mỹ.
Theo các chuyên gia nha khoa, việc điều chỉnh xương hàm chỉ nên thực hiện khi xương hàm răng đã ổn định. Để đảm bảo nhất, bạn nên thực hiện ở độ tuổi từ 18 trở lên.
Cũng có nhiều trường hợp gặp cả tình trạng hô hàm và răng. Để khắc phục được khuyết điểm này, bạn cần điều trị kết hợp cả PHẪU THUẬT HÀM + NIỀNG RĂNG.
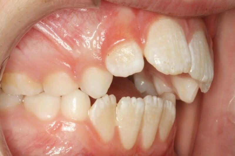
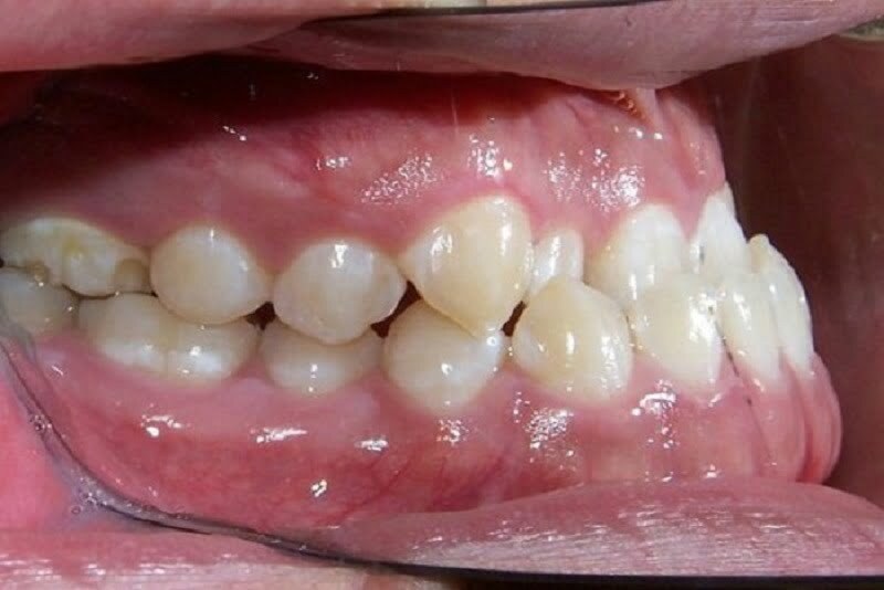
TRƯỜNG HỢP CÓ THỂ ÁP DỤNG PHẪU THUẬT HÀM HÔ MÓM
QUY TRÌNH PHẪU THUẬT HÀM HÔ MÓM DIỄN RA THẾ NÀO?

TẠI SAO NÊN THỰC HIỆN PHẪU THUẬT HÀM HÔ, MÓM

Khuôn mặt cân đối
Hàm hô, móm khiến khuôn mặt mất cân đối. Điều này ảnh hưởng trực tiếp đến tâm lý người bệnh. Vì vậy, sau khi phẫu thuật, mọi khuyết điểm khuôn mặt sẽ được khắc phục. Bạn sẽ lấy lại sự tự tin trong diện mạo mới hài hòa, thẩm mỹ, hoàn hảo hơn.

Khả năng ăn nhai tốt hơn
Hàm hô móm khiến khớp cắn của bạn lệch lạc, việc ăn nhai ít nhiều sẽ bị ảnh hưởng. Sau khi xương hàm được điều chỉnh bằng phương pháp phẫu thuật, bạn sẽ cảm nhận sự thay đổi rõ rệt trong ăn nhai. Bởi, mọi thứ đã được nắn về đúng chuẩn.

Hiệu quả trọn đời
Việc phẫu thuật hàm hô móm sẽ mất khoảng 2-4h để thực hiện. Tuy nhiên, sau khi hoàn tất và hồi phục, bạn sẽ sở hữu gương mặt cân đối, hài hòa, tương quan hàm răng đúng chuẩn. Kết quả điều trị này sẽ duy trì đến trọn đời.





















