LẤY CAO RĂNG KHÔNG ĐAU, KHÔNG HẠI MEN RĂNG VỚI
CÔNG NGHỆ DENTSPLY M3
Lấy cao răng là kỹ thuật nha khoa đơn giản, song cũng không được chủ quan mà tùy tiện chọn 1 cơ sở nha khoa nhỏ lẻ kém chất lượng mà thực hiện. Bởi dù là dịch vụ nhỏ, kỹ thuật đơn giản nhưng nếu không được thực hiện đảm bảo vẫn sẽ gây ra những hệ quả nghiêm trọng như xâm hại đến men răng, nướu, làm yếu chân răng, chảy máu... Vì vậy hãy lấy cao răng tại nha khoa uy tín để có kết quả điều trị tốt nhất. Đồng thời bảo vệ hàm răng được chắc khỏe hơn.
CAO RĂNG LÀ GÌ VÀ KỸ THUẬT LẤY CAO RĂNG
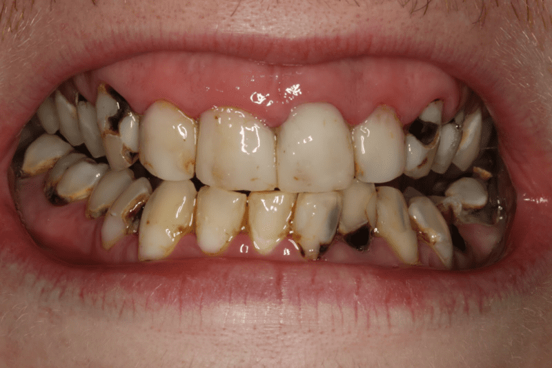
Cao răng hay còn gọi là vôi răng, là những mảng bám dính trên bề mặt răng, dưới nướu. Cao răng được hình thành do vụn thức ăn thừa không được làm sạch cùng với vi khuẩn tác động lên. Lâu dần, cao răng trở nên cứng và bám chặt vào răng với màu vàng hoặc xỉn đen gây mất thẩm mỹ. Đồng thời còn là tác nhân gây nên các bệnh lý như hôi miệng, viêm nướu lợi, nha chu...
Cao răng không thể làm sạch được bằng bàn chải hãy những việc vệ sinh răng hàng ngày. Nó phải được loại bỏ bằng các dụng cụ đặc biệt trong phòng khám nha sĩ.
Thông thường bạn nên thực hiện lấy cao răng 6 tháng 1 lần để đảm bảo sức khỏe răng miệng được tốt nhất.
Cao răng không thể làm sạch được bằng bàn chải hãy những việc vệ sinh răng hàng ngày. Nó phải được loại bỏ bằng các dụng cụ đặc biệt trong phòng khám nha sĩ.
Thông thường bạn nên thực hiện lấy cao răng 6 tháng 1 lần để đảm bảo sức khỏe răng miệng được tốt nhất.
TÁC HẠI CỦA CAO RĂNG GÂY RA
QUY TRÌNH LẤY CAO RĂNG
TẠI NHA KHOA QUỐC TẾ ÚC CHÂU

ĐỘI NGŨ BÁC SĨ
NHA KHOA QUỐC TẾ ÚC CHÂU


Tại Nha khoa Quốc tế Úc Châu, mọi dịch vụ, kỹ thuật nha khoa đều được bác sĩ giỏi, có chuyên môn tay nghề trực tiếp thực hiện. Bởi chúng tôi luôn tâm niệm rằng phải làm hài lòng mọi khách hàng dù ở mọi dịch vụ nào.
3 LÝ DO KHIẾN BẠN NÊN LẤY CAO RĂNG ĐỊNH KỲ 6 THÁNG 1 LẦN

Đảm bảo thẩm mỹ
Cao răng thường có màu vàng, nâu nên gây ảnh hưởng nghiêm trọng đến thẩm mỹ. Và bạn có đủ tự tin để cười tươi khi hàm răng tồn tại nhiều những mảng bám cao răng kém thẩm mỹ đó!? Chắc chắn là không? Vì vậy, việc lấy cao răng, loại bỏ những mảng bám cao răng màu vàng, nâu... sẽ góp phần làm nụ cười của bạn trở nên rạng rỡ hơn.

Hơi thở thơm mát
Do được hình thành từ vụn thức ăn thừa và tác động của vi khuẩn gây hại nên cao răng thường là tác nhân gây nên mùi hôi trong hơi thở bởi những ổ vi khuẩn tích tụ lâu ngày không được làm sạch. Và khi chúng được loại bỏ, mùi khó chịu của hơi thở sẽ được cải thiện. Duy trì việc lấy cao răng định kỳ sẽ chấm dứt tình trạng đó hiệu quả.

Hàm răng khỏe mạnh
Cao răng chính là nơi trú ngụ của vi khuẩn, bởi vậy, nếu không được làm sạch, đây sẽ là điều kiện để vi khuẩn tấn công, gây nên tình trạng sâu răng, viêm nha chu... Chúng sẽ phá hủy mô nha chu, tủy răng và để lại hậu quả nghiêm trọng như răng lung lay, mất răng. Vì vậy, việc lấy cao răng sẽ đảm bảo cho bạn có 1 hàm răng khỏe mạnh nhất.
CHI PHÍ LẤY CAO RĂNG
Lấy cao răng là kỹ thuật nha khoa đơn giản bởi vậy chi phí thực hiện lấy cao răng cũng rất thấp. Tham khảo bảng giá dưới đây nhé.
| Tên dịch vụ | Các dòng/ Giai đoạn | Chi Phí |
| Lấy cao răng và đánh bóng | 1 liệu trình | 100.000 – 200.000 VNĐ |
Hãy thực hiện lấy cao răng định kỳ 6 tháng 1 lần để đảm bảo sức khỏe răng miệng luôn tốt nhất. Hạn chế tối đa bệnh lý về răng
LÝ DO BẠN NÊN THỰC HIỆN LẤY CAO RĂNG TẠI NHA KHOA ÚC CHÂU

Bác sĩ trình độ
Bác sĩ của chúng tôi được đào tạo bài bản tại các trường y học danh tiếng trên cả nước, có chuyên môn nghiệp vụ cao và thường xuyên tham gia các buổi hội thảo, khóa học ngoại khóa nhằm nâng cao tay nghề và chất lượng dịch vụ.

Máy móc hiện đại
Mỗi phòng dịch vụ đều được trang bị đầy đủ máy móc thiết yếu để phục vụ cho quá trình lấy cao răng diễn ra suôn sẻ và nhanh chóng. Đồng thời phòng nha luôn được khử khuẩn, dụng cụ nha khoa được vô trùng để đảm bảo an toàn.

Công nghệ tiên tiến
Công nghệ lấy cao răng Dentsply, sử dụng sóng siêu âm cao tần giúp bóc tách mảng bám nhẹ nhàng và không gây ảnh hưởng đến nướu hay men răng. Bởi vậy, bạn sẽ không có cảm giác ê buốt như thực hiện tại các cơ sở nhỏ lẻ khác.


















