TẨY TRẮNG RĂNG
GIẢI PHÁP "CỨU CÁNH" CHO HÀM RĂNG XỈN MÀU
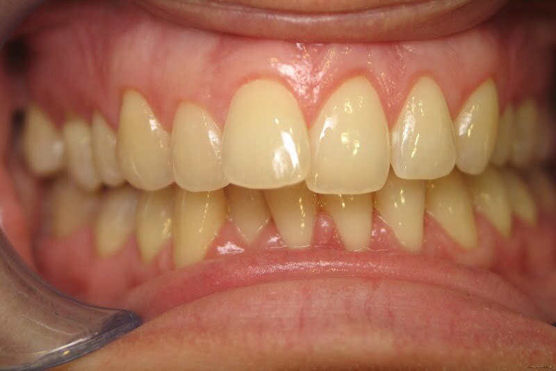
Răng ố vàng, xỉn màu là tình trạng phổ biến và thường gặp ở mọi lứa tuổi. Điều này khiến bạn ngại giao tiếp và tạo nên hàng rào cản trở sự phát triển công việc, ảnh hưởng đến chất lượng cuộc sống. Chính vì vậy, nhiều người đã tìm đến phương pháp tẩy trắng răng với mong muốn lấy lại nụ cười trắng sáng. Nhưng việc tìm được địa chỉ nha khoa uy tín lại là việc khiến không ít người đau đầu. Hiện Nha khoa Úc Châu là địa chỉ nha khoa uy tín, cung cấp dịch vụ tẩy trắng răng chất lượng tại Thanh Hóa. Nơi đây đáp ứng được đầy đủ các tiêu chí cần thiết của một nha khoa làm trắng răng an toàn và nhận được sự lựa chọn ưu tiên của nhiều khách hàng.
BẠN BIẾT GÌ VỀ PHƯƠNG PHÁP TẨY TRẮNG RĂNG?
Tẩy trắng răng là phương pháp sử dụng thuốc tác động lên bề mặt men răng nhằm lấy đi những mảng màu kém trắng sáng và trả lại cho bạn nụ cười rạng rỡ hơn.
Những nguyên nhân chính dẫn đến tình trạng răng ố vàng, xỉn màu là do:
- Chế độ ăn uống, hút thuốc lá
- Vệ sinh răng miệng chưa đảm bảo
- Tuổi tác
- Thuốc kháng sinh
Tình trạng răng xỉn màu, ố vàng khiến bạn luôn cảm thấy tự ti với nụ cười của mình và e ngại mỗi khi giao tiếp. Chính vì vậy, bạn cần có biện pháp làm trắng răng có thể “làm chủ” mọi cuộc chơi.
Những nguyên nhân chính dẫn đến tình trạng răng ố vàng, xỉn màu là do:
- Chế độ ăn uống, hút thuốc lá
- Vệ sinh răng miệng chưa đảm bảo
- Tuổi tác
- Thuốc kháng sinh
Tình trạng răng xỉn màu, ố vàng khiến bạn luôn cảm thấy tự ti với nụ cười của mình và e ngại mỗi khi giao tiếp. Chính vì vậy, bạn cần có biện pháp làm trắng răng có thể “làm chủ” mọi cuộc chơi.
AI CÓ THỂ TẨY TRẮNG RĂNG?
QUY TRÌNH TẨY TRẮNG RĂNG ĐƯỢC THỰC HIỆN THẾ NÀO?

ĐỘI NGŨ BÁC SĨ
NHA KHOA QUỐC TẾ ÚC CHÂU


Để 1 ca tẩy trắng thành công, yếu tố đầu tiên phải kể đến đó là tay nghề bác sĩ. Bác sĩ chính là người trực tiếp khám, xem xét tình trạng răng của bạn. Từ đó quyết định liều lượng, nồng độ thuốc và thời gian chiếu đèn điều trị. Tại Nha khoa Úc Châu, đội ngũ bác sĩ là những chuyên gia giàu kinh nghiệm thực tiễn, giỏi tay nghề, do đó bạn chắc chắn sẽ hài lòng với kết quả.
LỢI ÍCH KHI TẨY TRẮNG RĂNG TẠI NHA KHOA ÚC CHÂU

Răng trắng bật tone
Nha khoa Quốc tế Úc Châu ứng dụng công nghệ tẩy trắng răng Laser Zoom II, công nghệ tẩy trắng số 1 Hoa Kỳ với tinh chất tẩy trắng an toàn tuyệt đối với môi nướu giúp phá vỡ mảng bám ố vàng, xỉn màu trên răng và trả lại nụ cười trắng sáng bật từ 3-5 tone chỉ sau 45-60 phút nằm trên ghế nha khoa.

Hiệu quả nhiều năm
Sau khi thực hiện tẩy trắng công nghêh Laser Zoom II, kết quả này sẽ duy trì được khoảng 3 năm. Và trên thực tế, khách hàng tại Nha khoa Quốc tế Úc Châu vẫn luôn duy trì được kết quả lâu hơn thế với chế độ ăn uống hợp lý và chăm sóc răng miệng đúng cách theo chỉ dẫn của bác sĩ nha khoa.

Không hại men răng
Người trực tiếp khám và thực hiện tẩy trắng cho bạn là bác sĩ có chuyên môn. Cùng với đó là sự hỗ trợ của máy móc, công nghệ, thuốc tẩy trắng chất lượng. Việc tẩy trắng không tác động hay thay đổi cấu trúc răng, do vậy, bạn sẽ không thấy ê buốt mà chỉ nhận thấy sự khác biệt về màu răng.
BẢNG GIÁ TẨY TRẮNG RĂNG
Tẩy trắng răng giá bao nhiêu? Chi phí này sẽ tùy thuộc vào phương pháp mà bạn lựa chọn. Cùng tham khảo bảng giá tẩy trắng răng tại Nha khoa Quốc tế Úc Châu. Hiện, Nha khoa Quốc tế Úc Châu cung cấp 2 giải pháp tẩy trắng răng gồm: Tẩy trắng răng tại nha khoa bằng công nghệ Laser Zoom II và tẩy trắng răng tại nhà.
| Tên dịch vụ | Các dòng/ Giai đoạn | Chi Phí |
| Tẩy trắng răng tại nhà | Hàm | 1,2 triệu đồng |
| Tẩy trắng tại PK bằng máy Lazer Zoom II | Hàm | 2 triệu đồng |
| Tẩy trắng tại phòng khám bằng máy Lazer Zoom II + Tẩy trắng tại nhà | Hàm | 3 triệu đồng |
Chi phí thực hiện 2 phương pháp tẩy trắng bằng công nghệ và tẩy trắng tại nhà có sự chênh lệch đáng kể bởi những ưu nhược điểm của từng phương pháp mang lại.
Tẩy trắng răng bằng công nghệ:
- Ưu điểm: Hiệu quả cao, thời gian thực hiện nhanh chóng, kết quả duy trì nhiều năm và có thể áp dụng cho nhiều trường hợp răng ố vàng xỉn màu. - Nhược điểm: Chi phí cho 1 liệu trình cao
Tẩy trắng răng tại nhà:
- Ưu điểm: Chi phí thấp, có thể thực hiện tại nhà, dễ dàng, tiện lợi
- Nhược điểm: Đòi hỏi kiên trì, hiệu quả không cao và chỉ cho hiệu quả với trường hợp răng xỉn màu nhẹ.
Tẩy trắng răng bằng công nghệ:
- Ưu điểm: Hiệu quả cao, thời gian thực hiện nhanh chóng, kết quả duy trì nhiều năm và có thể áp dụng cho nhiều trường hợp răng ố vàng xỉn màu. - Nhược điểm: Chi phí cho 1 liệu trình cao
Tẩy trắng răng tại nhà:
- Ưu điểm: Chi phí thấp, có thể thực hiện tại nhà, dễ dàng, tiện lợi
- Nhược điểm: Đòi hỏi kiên trì, hiệu quả không cao và chỉ cho hiệu quả với trường hợp răng xỉn màu nhẹ.
3 THẾ MẠNH NỔI BẬT VỀ DỊCH VỤ TẨY TRẮNG TẠI NHA KHOA ÚC CHÂU

Bác sĩ có chuyên môn
Đối với bất kể dịch vụ nha khoa nào, việc được bác sĩ giỏi trực tiếp thực hiện dịch vụ là bạn đã nhận được sự thành công đến 85%. Tại Nha khoa Úc Châu, toàn bộ bác sĩ đều là chuyên gia có tay nghề, được đào tạo bài bản từ các trường đại học danh tiếng, chất lượng và có nhiều năm kinh nghiệm thực tế để đảm bảo quá trình tẩy trắng diễn ra an toàn, không ê buốt, khó chịu. Đồng thời cho kết quả tối ưu.

Công nghệ tiên tiến
Công nghệ tẩy trắng Lazer Zoom II được ứng dụng tại Nha khoa Quốc tế Úc Châu là công nghệ tiên tiến số 1 Hoa Kỳ. Công nghệ này sử dụng ánh sáng laser xanh chiếu lên tinh chất tẩy trắng. Tinh chất này sẽ giúp phá vỡ mảng bám màu trên răng, "thay áo" mới cho hàm răng và mang lại nụ cười trắng sáng cho bạn mà không ảnh hưởng đến men răng. Đồng thời cho hiệu quả duy trì trắng sáng dài lâu.

Khách hàng tin chọn
Nha khoa Quốc tế Úc Châu đã từng thực hiện tẩy trắng răng cho gần 1.000 khách hàng và toàn bộ 100% khách hàng cho biết hài lòng với chất lượng dịch vụ cũng như chế độ đón tiếp, chăm sóc tại đây. Và theo khảo sát của chúng tôi, có đến 85% khách hàng có kết quả tẩy trắng duy trì trên 3 năm kể từ khi thực hiện dịch vụ. Đây là kết quả hoàn toàn xứng đáng với những gì mà nha khoa luôn cố gắng


















