ĐIỀU TRỊ TỦY RĂNG
NHA KHOA QUỐC TẾ ÚC CHÂU
Tủy răng là một bộ phận không thể thiếu để cấu tạo nên những chiếc răng khỏe mạnh, chắc chắn. Tuy nhiên, theo thời gian và các yếu tố tác động nên dễ gây ra hư hỏng nghiêm trọng, đặc biệt là viêm tủy răng nguy hiểm. Điều trị tủy răng là phương pháp khắc phục và bảo tồn răng thật tối đa giúp bạn ăn uống thoải mái và tự tin hơn trong cuộc sống.
TỦY RĂNG LÀ GÌ?
Tủy răng là một hệ thống gồm nhiều mạch máu và dây thần kinh nằm ở giữa răng, được bao bọc bởi lớp ngà răng và men răng. Tủy răng có cả ở phần thân răng lẫn chân răng.
Tủy răng được bảo vệ bởi 1 lớp men răng và ngà răng nhưng do nhiều tác nhân gây hại như sâu răng hay vỡ lớn làm tủy răng bị tổn thương nghiêm trọng gây ra khó chịu và đau nhức, ảnh hưởng nhiều đến sức khỏe răng miệng của bản thân.
Tủy răng được bảo vệ bởi 1 lớp men răng và ngà răng nhưng do nhiều tác nhân gây hại như sâu răng hay vỡ lớn làm tủy răng bị tổn thương nghiêm trọng gây ra khó chịu và đau nhức, ảnh hưởng nhiều đến sức khỏe răng miệng của bản thân.
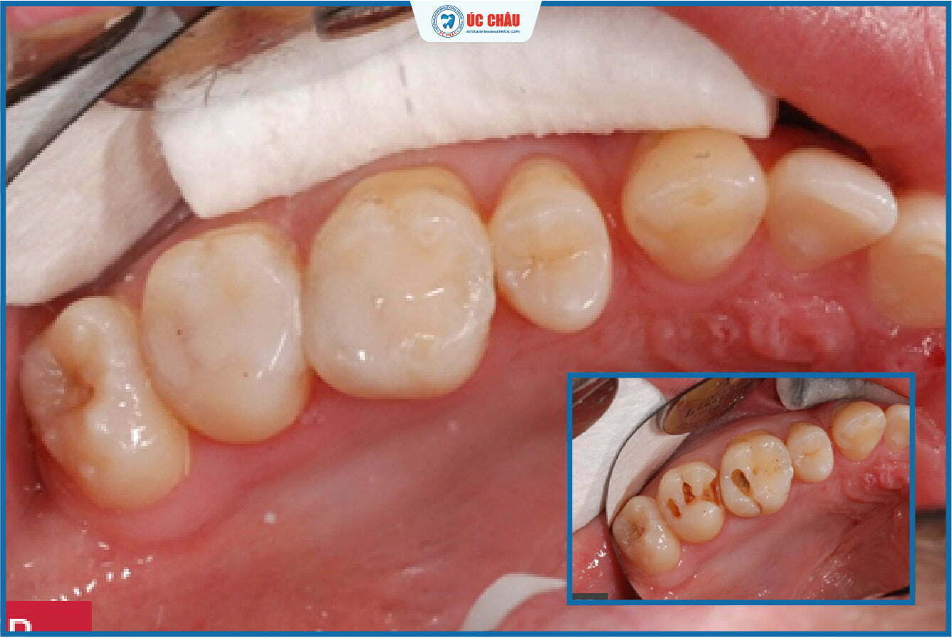
NGUYÊN NHÂN GÂY NÊN VIÊM TỦY RĂNG
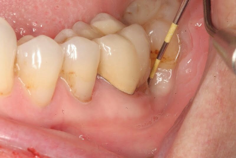
QUY TRÌNH ĐIỀU TRỊ TỦY RĂNG

ĐỘI NGŨ BÁC SĨ
NHA KHOA QUỐC TẾ ÚC CHÂU


Bác sĩ tại Nha khoa Quốc tế Úc Châu luôn là những người tận tâm, tận tình và hết lòng vì khách hàng. Với bất kỳ trường hợp nào, bác sĩ sẽ đều cố gắng điều trị sao cho kết quả đạt được tối ưu nhất và làm hài lòng mọi khách hàng, kể cả những khách hàng khó tính.
TẠI SAO PHẢI ĐIỀU TRỊ VIÊM TỦY RĂNG?

Gây kích ứng khi ăn
Có dấu hiệu của bệnh viêm tủy răng, bạn rất dễ gặp các kích thích khi ăn đồ ăn chưa, cay, ngọt, hoặc thức ăn nóng và lạnh. Mức độ ê buốt răng sẽ tăng dần theo cấp độ ảnh hưởng cho đến khi tủy răng bị hoại tử hoàn toàn. Khiến bạn cảm thấy đau nhức, khó chịu, khó khăn trong ăn uống và sinh hoạt.

Nguy cơ gây mất răng
Viêm tủy răng nếu không được điều trị kịp thời, bệnh sẽ ngày càng nặng dẫn đến nguy cơ bị mất răng rất cao. Nếu bạn bị mất răng ở những vị trí như răng cửa, hoặc răng nanh có thể ảnh hưởng đến thẩm mỹ của khuôn mặt. Trường hợp mất răng ở nhóm các răng hàm thì khả năng ăn nhai bị giảm sút.

Suy nhược cơ thể
Viêm tủy răng khiến bạn thường xuyên xuất hiện những cơn đau, khó chịu dẫn đến tình trạng mất ngủ, biếng ăn… từ đó sức khỏe suy giảm. Tủy răng khi bị tổn thương sẽ không có khả năng tự lành, nếu không điều trị thì khả năng nhiễm trùng răng sẽ lan rộng làm tiêu xương và răng có thể sẽ bị rụng.
BẢNG GIÁ ĐIỀU TRỊ TỦY
Dưới đây là bảng giá nha khoa hỗ trợ điều trị bệnh lý và thẩm mỹ răng tương xứng với hiệu quả mà dịch vụ tạo ra.
| Tên dịch vụ | Các dòng/ Giai đoạn | Chi Phí |
| Điều trị tủy răng 1,2,3 | 1 răng | 350.000 đồng |
| Điều trị tủy răng 4, 5 | 1 răng | 450.000 đồng |
| Điều trị tủy răng 6, 7 dưới | 1 răng | 700.000 đồng |
| Điều trị tủy răng 6,7 trên | 1 răng | 850.000 đồng |
Thời gian điều trị tủy răng sẽ tùy vào từng trường hợp với mức độ nặng nhẹ khác nhau. Thông thường, thời gian để trám răng mất khoảng 15 – 30 phút cho 1 răng.
NHA KHOA QUỐC TẾ ÚC CHÂU
ĐỊA CHỈ CHĂM SÓC RĂNG MIỆNG CỦA MỌI NHÀ

Bác sĩ trình độ cao
Nha khoa quy tụ đội ngũ bác sĩ giỏi, nhiều kinh nghiệm thực tiễn, do vậy sẽ tạo được hiệu quả điều trị cao, mang đến sự hài lòng nhất cho khách hàng.

Quy trình chuyên biệt
Quá trình điều trị được thực hiện trong phòng nha chuyên biệt, hệ thống máy móc hiện đại, dụng cụ hỗ trợ tốt nhất được nhập khẩu từ nước ngoài.

Tận tâm với khách
Nha khoa luôn tận tâm và đặt lợi ích của khách hàng lên trên hết. Hỗ trợ tư vấn, chăm sóc định kỳ dựa trên mã số khách hàng theo bệnh án điện tử.

















